Lighthouse Dental

Smile Gallery

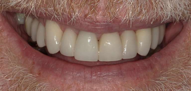
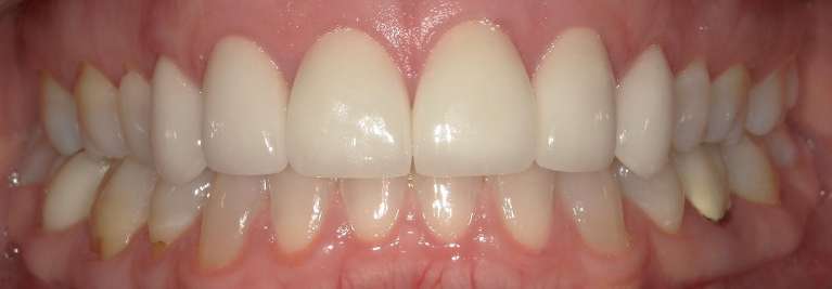
At Lighthouse Dental, we love helping our patients achieve confident smiles! Please take a look at some of our before and after photos so you can see the remarkable results for yourself. 

We Warmly Welcome New Patients to Our Practice
Smile Gallery Categories
Life changing

Lighthouse dental changed my life in the best way possible!!!! I have always had horrible teeth with an uneven jaw.
The pain I have gone through over my 28 years of life has truly been a challenge.
My uneven smile has always made me feel very uncomfortable and less confident than I would have wanted. But once I got my appointment evaluation my life has been forever changed by some of the most thoughtful dental professionals I have ever interacted with! Because of my history I have seen quite a few.
I had a very severe case…. All my teeth needed removal. I am about 1 month down in my healing journey, And I am finally free from the pain I have been experiencing almost my entire life!
I am completely and utterly grateful beyond belief!!! Lighthouse dental truly helped me with one of my biggest challenges! They were so kind and gentle! Understandable with every situation!!! I am so blessed I got to experience their care and service!!!
I urge you to please make the call!
They can help with any dental problems!!
My deepest Gratitude!
Keep up the amazing work!
You are the very best!!!!

If you have difficulty using our website, please email us or call us at (910) 762-3481
View the ADA Accessibility Statement